Breast Biopsy Site Markers

Tydelige former med muligheder for god synlighed i lang tid. Designet, så du kan identificere steder med sikkerhed.

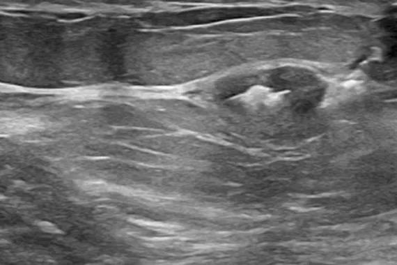
Markører til brystbiopsisteder med forskellige former

    Oversigt

    Dokumenter

    Uddannelse

    Et omfattende udvalg

    Hologics udvalg af markører til biopsisteder fås i flere former, gauge-størrelser og længder. Markørerne er kompatible med røntgen-, ultralyds- og MR-vejledte biopsier.  Alle markører leveres med en ergonomisk og brugervenlig indsættelsesenhed.

    Tumark® Biopsy Site Markers

    Intelligent designet til at give langvarig synlighed. Alle Tumark-markører er ikke-bioresorberbare, biokompatible permanente markører, der giver fremragende synlighed og er designet til at minimere bevægelse.1

    SecurMark® Biopsy Site Markers

    Denne markør er designet til at minimere bevægelse2 og er meget synlig under ultralyd efter placering og stadig meget synlig 6 uger efter biopsien, hvilket er afgørende i tilfælde af fremtidig brystoperation.3 Markøren består af to dele: en permanent markør og et bioresorberbart suturlignende net.

    TriMark® Biopsy Site Markers

    Optimale til tyndbrystede patienter og overfladiske læsioner. Problemfri markørindsættelse på biopsistedet via en stiv, affaset spids.

    Illustration af Hologic Breast Health Continuum of Care med radiologi

    Lås op for fordelen ved tid

    Vores Breast Health Continuum of Care tilbyder integrerede løsninger, der medfører klinisk pålidelighed, effektive arbejdsgange og omsorgsfuld patientpleje. Giver flere kvinder et bedre helbred i længere tid.

    The Breast Biopsy Site Markers er en del af Hologics Localisation & Marking Solution.

    Identificering med pålidelighed

    Forskning viser, at Tumark Professional X-, Q- og Vision-biopsimarkørerne er nøjagtige og nemme at bruge.1

    85 %

    siger, at synligheden under ultralyd var god til fremragende efter indsættelse1

    92 %

    af markørerne blev præcist indsat i det tilsigtede område1

    99 %

    var enige i, at enheden var nem at bruge1

    Kvinde på virtuelt hospital med brystkirurgisk operationsstue og patologisk laboratorium

    Besøg vores virtuelle hospital

    Gennemse vores portefølje af løsninger i 3D til brystsundhed. Se hvordan du kan udnytte den tidsmæssige fordel i løbet af hele det sammenhængende patientforløb for bryst og sundhed.

    Gennemse det omfattende udvalg af biopsimarkører

    Billedgalleri

    Evidens. Viden. Samarbejde.

    Vores uddannelsesportal forbedrer patientpleje gennem fremragende uddannelse, kommunikation af klinisk og videnskabelig dokumentation og partnerskaber med sundhedsvæsenet.

    Viden

    Radiografer, der gennemgår en tomosyntesemammografi på en skærm Radiografer, der gennemgår en tomosyntesemammografi på en skærm

    Resultater af ToSyMa-forsøget, en 3D-fremtid for brystkræftscreening

    Kvinde, der sidder foran en mammograf med en sundhedsperson ved siden af. Kvinde, der sidder foran en mammograf med en sundhedsperson ved siden af.

    Screeningsprogrammer for bryst- og livmoderhalskræft nu og i fremtiden

    læge og patient, der taler om brystkræft læge og patient, der taler om brystkræft

    Minimalt invasive interventioner ved brystkræft uden operation

      1. Hologics interne data. DHM-06169, Rev 001. * Based on Tumark® Data Collection Study, 3 clinicians at 3 hospitals for 90 marker placements, 2017.
      2. Yen P, Dumas S, Albert A, et al. Post-Vacuum-Assisted Stereotactic Core Biopsy Clip Displacement: A Comparison Between Commercially Available Clips and Surgical Clip. Can Assoc Radiol J. 2018 Feb;69(1):10-15. doi: 10.1016/j.carj.2017.08.004. PMID: 29458952. Devices show reduced displacement when compared to traditional metal surgical clips (28% and 27% vs 38% displacement, p = 0.001 and p = 0.0001). Visibility is dependent on surrounding tissue, experience may vary.
      3. Pinkney DM, Shah BA. Prospective Comparative Study to Evaluate the Sonographic Visibility of Five Commercially Available Breast Biopsy Markers. Journal of Diagnostic Medical Sonography. 2013;29(4):151-158. doi:10.1177/8756479313486962. *45.4 % of respondence rated SecurMark high sonographic visibility after 6-weeks post procedure, 4x more than the Gel Mark UltraCor™
      4. Hologics interne data. MISC-07876, Rev 001, attachment 2. Rüland 2018 (n=50), Kuemmel 2020 (n=300) PMCF Hologic survey (n=29).
      5. Hologics interne data. MISC-07876, Rev 001, attachment 2. Appendix G, Customer Feedback Survey.
      6. Hologics interne data. MISC-07876, Rev 001, attachment 2. Flores-Funes 2021 (n=60), Jain 2017 (n=9), Siegmann 2009 (n=29), Wienbeck 2017 (n=3), Stahl 2021 (n=114), Rüland 2018 (n=50), Woodard 2019 (n=1).
      7. Hologics interne data. MISC-07876, Rev 001, attachment 2 , Attachment 45. Flores-Funes 2021 (n=60), Hyde 2019 (n=50), Siegmann 2009 (n=29), Wienbeck 2017.
      8. Hologics interne data. MISC-07876, Rev 001, attachment 2. Flores-Funes 2021 (n=60), Jain 2017 (n=9), Siegmann 2009 (Woodard 2019 (n=1)n=29), Wienbeck 2017 (n=3), Stahl 2021 (n=49).

      2797
      0482

      Hologic BV, Da Vincilaan 5, 1930 Zaventem, Belgium.

      Nummer på det bemyndigede organ, hvor relevant
      Oplysninger om autoriseret repræsentant i EU, hvor relevant